Last Update 9 hours ago Total Questions : 137
The AE Adult Echocardiography Examination content is now fully updated, with all current exam questions added 9 hours ago. Deciding to include AE-Adult-Echocardiography practice exam questions in your study plan goes far beyond basic test preparation.
You'll find that our AE-Adult-Echocardiography exam questions frequently feature detailed scenarios and practical problem-solving exercises that directly mirror industry challenges. Engaging with these AE-Adult-Echocardiography sample sets allows you to effectively manage your time and pace yourself, giving you the ability to finish any AE Adult Echocardiography Examination practice test comfortably within the allotted time.
Which color Doppler adjustment would optimize visualization of flow across the interatrial septum?
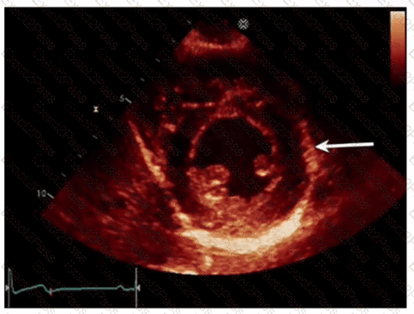
Which left ventricular regional wall segment is indicated by the arrow on this image?

A patient presents with tender, red lesions on their fingers and toes (Osier nodes). Which finding is most likely?
Which view is most appropriate for measuring right ventricular dimensions?
How must the sonographer angle the transducer from the apical four-chamber view in order to visualize the aortic valve in the apical five-chamber view?
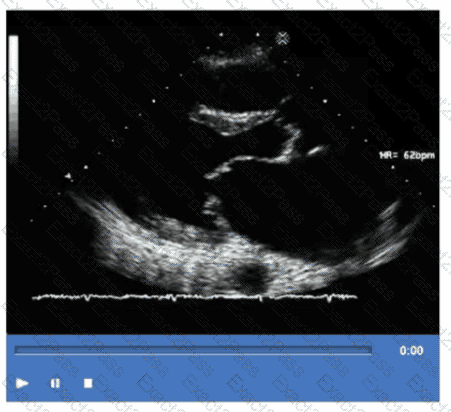
Which of the following is the most likely cause for the findings demonstrated in this video?

Which of the following is a feature of constrictive pericarditis?
